
先日、お客さまが
と、お話してくださいました
体の中から気になる音がすると
誰だって不安になりますよね
わたし自身も、50歳で
頸椎ヘルニアを経験しているので
その気持ちはとてもよくわかります
﹏﹏﹏﹏﹏﹏﹏﹏﹏﹏﹏﹏﹏﹏﹏﹏
ヨガ、ピラティスのある暮らしで
10年後の笑顔が溢れますように
からだを丁寧に感じていくと
心が少しずつほぐれて
本来の自分に還る感覚が訪れる
また歩きたくなる
また、人と出会いたくなる
このブログは
更年期真っただ中
54歳インストラクターが
迷いながら生きるあなたへ
小さな気づきと
心とからだにそっと寄り添う
ヒントをお届けします
﹏﹏﹏﹏﹏﹏﹏﹏﹏﹏﹏﹏﹏﹏﹏﹏
vol.2098
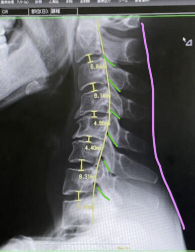
恥ずかしながら、わたしの首には、
自然は前弯(前のカーブ)が
ほとんどありませんでした
今は、どうかな〜?
(…というか、むしろ後弯してる💦)

そのために衝撃がうまく分散できずに
振動やズレがダイレクトに
頭に伝わります
だから、耳の奥で
「カチッ」「ゴソッ」みたいな
小さな音を敏感に拾っていて
急な首の動きには
人一倍気をつけています
首から聞こえてくる音の多くは
緊張した筋肉や腱が
骨に擦れるときの摩擦音なのかな、と
思っています
ときに、デスクワークが続くと
首肩がカチカチになってきて
動きがぎこちなくなってきて
すると、普段なら感じないような
内部の音がまた強調されてきて
「え?何か悪いのかな」
なんて、
祖母の最期が脳いっ血で
そのときの記憶が
自然と蘇ってきたりもして
不安が膨らんできます
( ̄▽ ̄;)
首は、耳のすぐ下にあって
骨を通じて音が増幅されるため
実際よりも大きく
響いてくるんだろうな、とも
感じているけど
頸椎ヘルニアを患ったことがある人や
首のカーブが少ない人は
特にこの「内部の音」を
拾いやすいんじゃないかな~?
首のカーブが足りてない
そんな自覚があったなら
音がしただけで怖くなるのは
自然な反応ですよね
もちろん、痛みやしびれ
頭痛が強いときには受診が必要です
音だけなら、多くは
筋肉の緊張や姿勢のクセが原因かな
今の時期は、まずは
寝るときも含め
首肩を冷やさないようしていますが
もちろん、
長時間のPCに注意はするし
定期的に姿勢を変えて
体を動かすし…
同じように不安を抱えている方へ
「音=悪いこと」ではありません
自分の体が「ちょっと休んで」と
教えてくれている合図かもしれません
心配がぬぐえないから
「MRIで確認したい」と思うのは
体を守る大事な選択です
わたしの経験が少しでも
安心材料になりますように
最後までお付き合いくださり
ありがとうございました
それでは今日も良い1日を…♡
LINE公式アカウント
登録して頂けると励みになります
《 生きるよころび 》
《 心豊かな生活 》
《 大人の楽しみ 》
この田舎町だからこそできる
静かな時間、深い呼吸、小さな一歩
わたしは、この場所で
自分らしい生き方を思い出す
お手伝いをしています
pilates and yoga
個 人 サ ロ ン ス タ ジ オ
【 完 全 予 約 制 】
店休日|日曜
営業時間|9:30~19:00
| 店舗名 | 心とからだセラピー『やすらぎ』 |
|---|---|
| 住所 | 静岡県浜松市浜名区都田町 マップを見る |
| 店休日 | 日曜 |
| 営業時間 | 9:30~19:00 |